根管治療は最初が肝心!
「米国式」に準じた
成功率の高い根管治療

- マイクロスコープで実現する精密治療
- 保険診療でも「ラバーダム」を使用
- 「歯根端切除術」で抜歯を回避
平均治療回数2〜3回
※自費の抜髄ケース
セカンドオピニオンも承っております。
どうぞお気軽にご相談ください。
お電話でのご予約・ご相談03-3475-1841

根管治療は最初が肝心!

平均治療回数2〜3回
※自費の抜髄ケース
セカンドオピニオンも承っております。
どうぞお気軽にご相談ください。









進行した虫歯が歯の神経近くまで達すると、神経が炎症を起こして歯が痛みます。この痛みを和らげるために、神経を取り除く「根管治療」を行います。しかし、多くの方が神経を取り除いた歯が再び痛み出した経験をお持ちです。
東京医科歯科大学の調査によると、神経を取り除いた歯の50〜70%で、再び膿が溜まっていたそうです。
日本で一般的に行われている根管治療の術式では、半数以上で再び炎症が起こっているのです。

一般的な根管治療は再発を起こしやすいことの他に、もうひとつ知ってほしいことがあります。
本来、歯の神経は、そう簡単に取っていいものではありません。歯の神経には、歯に栄養を運ぶ「血管」なども含まれています。神経を失った歯は栄養を取り入れることができなくなり、時間の経過とともに、弱く、もろくなってしまうのです。
炎症が再発すると、弱くなった歯をさらに削ることになります。再治療を繰り返すうちに歯はますますもろくなり、いずれ割れてしまいます。こうなると、ほとんどの場合に抜歯となります。
根管治療は繰り返し行える治療ではありません。抜歯を避けるためには、最初に「成功率の高い」治療を行う必要があるのです。

実は、根管治療の成功率を上げる治療法や器具は開発されています。実際、欧米ではこれらの技術を活用することで、90%以上の成功率があるという報告もあります。日本では保険診療の制約があり、これらの治療法や器具が使えません。日本の根管治療の成功率が低いのも、ここに原因があります。
当院では、これらの治療法や器具を取り入れて「米国式」に準じた治療法を実践し、高い成功率を誇っています。当院の根管治療には、次のような特長があります。
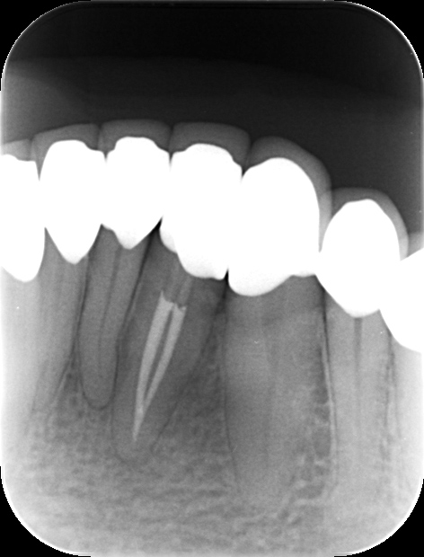
下の写真の歯の中にある黒い筋が「根管」です。

根管の形状は患者さんごとに異なり、非常に複雑です。さらに、狭い部分は直径1mmもありません。狭くて複雑な根管から、神経組織を取り除く治療がいかに難しいか、おわかりいただけると思います。
しかし、多くの歯科医院では、患部を「肉眼」で見ながらこの治療を行っています。これではどうしても限界があります。


当院では、「マイクロスコープ」や「高倍率ルーペ」を用いて、拡大視野のもと治療を行います。マイクロスコープでは、患部を最大で数十倍に拡大して見られるので、精度の高い治療が可能になります。また、当院ではマイクロスコープでの映像を動画に残し、患者さんに確認してもらうこともできます。
下の写真は、マイクロスコープで見た根管の様子です。いかに治療の精度が高まるか、一目瞭然だと思います。


根管は歯の内部に位置しているため、肉眼では確認できません。狭く複雑な根管の形状を把握するためには、X線検査が必要です。
X線検査といえば、よく使われるのは「レントゲン」ですが、当院では「CT」を採用しています。CTは、お口の周りを360度回転しながら撮影するので、立体的で鮮明な画像が得られます。
次の画像は、同じ歯をCTとレントゲンで撮影したものの比較です。


左がCT、右がレントゲンとなります。
CT画像(左)では黒い影が見えますが、レントゲン画像(右)にはその影がありません。この黒い影は、歯の根の炎症です。つまり、レントゲンだけで検査していたら、この炎症は見逃されてしまうということです。
CTを使用することで、初期の炎症も見逃すことなく、適切な診断が可能になります。

根管治療を成功させるためには、根管内を無菌状態にするのが重要です。しかし、これは簡単なことではありません。特に注意すべきなのは、唾液です。唾液には多くの細菌が含まれているので、唾液が治療中に患部に侵入すると、虫歯の再発リスクが高まります。
これを防ぐために「ラバーダム」という、ゴム製の薄いシートを使います。患部の歯以外をラバーダムで覆ってしまうことで、患部に唾液が浸入するのを防ぎます。
多くの歯科医院は、保険診療ではラバーダムを使いませんが、当院では保険診療でもラバーダムを使っています。

神経組織を取り除く際には、「ファイル」と呼ばれるヤスリ状の器具を使用します。多くの歯科医院では、ステンレス製のファイルが一般的です。しかし、ステンレスは硬いため、複雑な形状の根管には適応しづらい場合があります。当院では、ニッケルチタン製のファイルを採用しています。このニッケルチタンファイルは柔軟性が高く、曲がりくねった根管の形状に合わせて入り込み、神経組織を効果的に除去することができます。

感染部位を除去した後の根管内には、小さな削りカスが残ります。これらの削りカスには虫歯菌が付着している場合が多く、すべてを手作業で取り除くことは困難です。削りカスが残ったまま治療を終了する歯科医院もあり、これが日本における根管治療の成功率が低い一因となっています。
当院では、「EDTA」や「次亜塩素酸ナトリウム」などの薬品を用いて根管内を洗浄しています。これらの薬品は優れた殺菌力を持ち、根管内に残った削りカスを溶かして洗い流します。

神経組織を除去すると、細かい削りカスが発生し、根管内に広がります。この削りカスには多数の虫歯菌が付着していますが、これらを完全に手作業で取り除くのは不可能であり、多くの歯科医院ではこれらを放置したまま治療を終えることがあります。これが根管治療の成功率を低下させる原因のひとつです。
当院では、根管内を殺菌洗浄するために、多目的超音波治療器の「スプラソンP-MAX」を使用しています。スプラソンP-MAXは患部を超音波で洗浄し、削りカスを効果的に取り除けます。

神経を取り除き、殺菌・洗浄した根管の中は空洞となるため、「充てん材」と呼ばれる材料でその空洞を埋めます。一般的な根管治療では「ガッタパーチャ」というゴム製の充填材が用いられます。しかし、このガッタパーチャと歯の間には隙間が生じやすく、細菌が侵入して再び炎症を引き起こすリスクがあります。
当院では「MTAセメント」という充填材を使用しています。このMTAセメントには以下のような特長があります。
MTAセメントを充填することで、根管治療の予後は良好となります。
これらの器具や材料、治療法を活用することで、当院では根管治療の成功率を向上させています。

光殺菌治療とは、感染部位に光感受性物質を注入し、光を照射することで殺菌する安全な治療法です。
医科では、1990年代頃から光やレーザーを用いて肺、食道、胃、子宮頸部などの早期がんを治療する光力学療法(PDT=Photo-Dynamic Therapy)が行われています。
歯科では、数年前から欧米を中心に抗生物質を使用しない体に優しい安全な治療法として光殺菌治療が急速に普及しています。この治療法は、光感受性ジェルを細菌に浸透させ、光で殺菌する画期的な方法です。

当院では成功率の高い根管治療を行っていますが、一般的に根管治療を受けた歯は炎症が再発しやすい傾向があります。症状によっては治療が難しく、抜歯が必要となる場合もあります。
しかし、当院では、このような症例でも抜歯を回避できる治療法を提供しています。
以下に具体的な治療法をご紹介します。
※すべての症例で抜歯を避けられるわけではなく、抜歯が最善の選択となることもあります。
根管治療を行った歯に炎症が再発すると、歯の根の周囲に膿が溜まることがあります。このような症状では、通常の根管治療では対応できず、抜歯が必要になることもあります。
当院では、このような場合に「歯根端切除術」を用いて治療を行います。歯根端切除術は、歯茎を切開して炎症を起こした歯の根の先端と膿の袋をまとめて取り除く手術です。取り除いた後の空洞は血液で満たされ、時間の経過とともに骨が再生します。

一般的には、奥歯に対する歯根端切除術は難しいとされています。しかし、当院では問題のある歯を一度抜歯し、治療を行った後に元の位置に戻す「再植」という術式を用いることで、奥歯にも対応できる場合があります。

根管治療を行った歯が痛み、周囲が腫れている場合は、歯の根が割れていることがあります。神経を失った歯は脆くなり、何かの拍子で割れやすくなるのです。割れてしまった歯は多くの場合、抜歯が必要になりますが、状態によっては「破折歯牙再植」という術式で治療できることがあります。破折歯牙再植では、割れた歯を一度抜歯し、強力な接着剤で修復してから元の位置に埋め直します。
この方法で治療した歯は数ヶ月で安定し、ご自身の歯なのでインプラントなどに比べてもしっかりした噛み心地が保たれます。

根管治療を行った歯の多くで、炎症が再発してしまいます。しかし、根管治療は何度も繰り返すことはできません。そのため、最初に成功率の高い治療法を選択することが重要です。
現在、虫歯の治療中でかかりつけの歯医者さんから「神経を取る」と診断された場合は、具体的にどのような治療を行うのかを尋ねることをお勧めします。
当院ではセカンドオピニオンも受け付けております。本当に神経を取る必要があるのか悩んでいる方や、成功率の高い治療法を求めている方は、どうぞお気軽にご相談ください。
当院では、患者さんが抱えていらっしゃるお口のお悩みや疑問・不安などにお応えする機会を設けております。どんなことでも構いませんので、私たちにお話ししていただけたらと思います。
ご興味がある方は下記からお問い合わせください。
※初診のみWEB予約となります
※再診/通院中の方のご予約は、お電話でお願いします